Благодаря новейшим технологиям и постоянным достижениям в научной области были разработаны методы синтеза сложных пептидных препаратов из экстрактов нескольких различных тканей. Одним из таких пептидов в тканях является ‘Эпиталамин’, который естественным образом вырабатывается в шишковидной железе. Предполагается, что эпиталамин способствует увеличению выработки мелатонина, улучшению иммунологических и антиканцерогенных функций у крыс и мышей, а также восстановлению репродуктивной функции у пожилых грызунов. Используя последние достижения науки, был синтезирован пептид, подобный эпиталамину, получивший название ‘Эпиталон’.
Эпиталон (также известный как пептид AEDG, тетрапептид Эпиталон, или Эпиталонеин) – синтетический пептид, активатор теломеразы и предполагаемое антивозрастное соединение, которое было идентифицировано как предполагаемый активный компонент экстракта шишковидной железы крупного рогатого скота, известного как эпиталамин. Большинство исследований эпиталона и эпиталамина были проведены Санкт-Петербургским институтом биорегуляции и геронтологии под руководством Владимира Хавинсона в России [1]. Исследования этого пептида породили множество исследовательских гипотез, которые включают возможную регуляцию сна с помощью стимуляции шишковидной железы, высвобождающей больше мелатонина. Исследования также предполагают, что пептид может стимулировать выработку теломеразы, может проявлять сильные антиоксидантные свойства и улучшать работоспособность сетчатки.

Рис. 1. Структура AEDG (Эпиталон, Ala-Glu-Asp-Gly)
Эпиталон представляет собой синтетический тетрапептид, также известный как пептид AEDG, состоящий из аминокислот Ala-Glu-Asp-Gly [2]. Было высказано предположение, что пептид проявляет действие, сходное с действием эпиталамина, различными способами. Эпиталамин – это родственный препарат пинеального пептида, содержащий Эпиталон, который, как предполагалось, потенциально увеличивает среднюю продолжительность жизни различных экспериментальных моделей на 11-31% и может снизить смертность у мышей в моделях на предполагаемые 52%. [3].
Эпиталон и окислительный стресс
Недавнее исследование показало, что Эпиталон может снижать уровень внутриклеточных активных форм кислорода (АФК) в старых яйцеклетках, потенциально проявляя антиоксидантное действие [4]. Предполагалось, что пептид значительно снижает уровни АФК, в отличие от более высоких концентраций, которые не демонстрируют аналогичного защитного действия. Такое снижение может быть критическим, поскольку окислительный стресс считается важным фактором клеточного старения.
Кроме того, Эпиталон может помочь сохранить структурную целостность яйцеклеток. Было обнаружено возможное уменьшение фрагментации в постовуляторных старых яйцеклетках и во время партеногенетической активации — процесса, при котором яйцеклетка развивается в эмбрион без оплодотворения. Пептид также потенциально поддерживает целостность веретена и правильное распределение кортикальных гранул (CG). Веретена, которые являются важнейшими структурами в клеточном делении, распределяющими хромосомы по дочерним клеткам, и кортикальные гранулы, секреторные пузырьки, важные для предотвращения полиспермии (оплодотворения яйцеклетки несколькими сперматозоидами), необходимы для нормального клеточного деления и оплодотворения. Эпиталон может исправить аномалии веретена и предотвратить смещение CGS, которые являются распространенными проблемами в старых яйцеклетках.
Более того, воздействие Эпиталона было связано с потенциальным улучшением функции митохондрий, которая жизненно важна для жизнеспособности яйцеклеток. Митохондрии, известные как энергетические центры клетки, считаются критически важными для производства АТФ и поддержания клеточного метаболизма. Были признаки повышения мембранного потенциала митохондрий и увеличения количества копий мтДНК, что позволяет предположить, что Эпиталон может поддерживать целостность и функциональность митохондрий по мере старения яйцеклеток.
Наконец, было предложено, чтобы пептид уменьшал повреждение ДНК и апоптоз (гибель клеток) в старых яйцеклетках. По-видимому, он снижает интенсивность сигналов yH2AX — маркера повреждения ДНК – и, по—видимому, снижает скорость апоптоза, на что указывает снижение окрашивания аннексином-V. Эти наблюдения подразумевают, что Эпиталон может повысить выживаемость яйцеклеток за счет потенциального смягчения окислительного повреждения и сохранения стабильности генома, которые считаются критически важными для поддержания общей функциональности клеток.
Эпиталон как антивозрастное средство
Чтобы понять омолаживающее действие различных синтетических пептидов, были широко проведены исследования по изучению их потенциала в отношении клеточной пролиферации, регенерации и старения клеток, клеточного апоптоза и матриксного моделирования [5]. Было высказано предположение, что Эпиталон может ингибировать синтез MM-9, который обычно увеличивается со временем, и усиливать процесс пролиферации и клеточной регенерации, который обычно со временем уменьшается.

Рис. 1. Влияние пептидов на пролиферацию и апоптоз фибробластов кожи в процессе их старения. Здесь и на рис. 2: p<0,05 по сравнению с контролем для *молодых и +старых клеточных культур [5].
Сначала ученые в работе [5] оценили влияние коротких пептидов на скорость деления фибробластов кожи в процессе ее старения. Этот параметр был определен количественно с помощью маркера Ki-67. В контроле экспрессия Ki-67 в молодых культурах в 3,48 раза превышала соответствующий показатель в старых культурах. Пептиды AED, KED, KE и AEDG увеличивали экспрессию Ki-67 в молодых культурах в 1,14, 1,89, 1,40 и 2,08 раза соответственно, а в старых культурах – в 1,60, 5,61, 3,87 и 4,94 раза соответственно (рис. 1).

Рис. 2. Влияние пептидов на обновление клеток и ремоделирование внеклеточного матрикса в культурах фибробластов кожи в процессе их старения [5].
Затем ученые оценили влияние пептидов на апоптоз фибробластов кожи в процессе их старения. Для количественной оценки этого параметра использовалась каспаза-3 в качестве маркера. Экспрессия каспазы-3 в молодых культурах была в 3,8 раза ниже, чем в зрелых культурах. Пептид AED снижал экспрессию этого маркера в молодых культурах в 1,43 раза, в то время как пептиды KED, KE и AEDG существенно не изменяли этот параметр. Пептиды AED и AEDG снижали экспрессию каспазы-3 в молодых культурах в 2,52 и 5,05 раза соответственно, в то время как пептиды KED и KE существенно не изменяли этот параметр (рис. 2).
Количественную оценку интенсивности ремоделирования внеклеточного матрикса в культурах фибробластов кожи при старении проводили с использованием маркера ММР-9. В контроле экспрессия ММР-9 в молодых культурах была ниже в 4,24 раза, чем в культурах пожилых. Ни один из изученных пептидов не влиял на экспрессию ММР-9 в культурах молодых фибробластов. Под действием пептидов AED, KED, KE и AEDG экспрессия ММР-9 в молодых культурах снижалась в 3,43, 2,88, 4,50 и 1,29 раза соответственно (рис. 2).
Экспрессия CD98hc, маркера функциональной активности клеток кожи, в молодых культурах была выше в 2,92 раза, чем в зрелых. Пептиды AED, KED, KE и AEDG увеличивали этот показатель в молодых культурах в 1,66, 1,49, 1,22 и 2,94 раза, а в зрелых культурах – в 2,38, 3,90, 1,62 и 6,75 раза соответственно (рис. 1).
Эти данные позволяют предположить, что механизм действия коротких пептидов связан с активацией пролиферации и замедлением процесса старения, о чем свидетельствует повышенная экспрессия маркеров Ki-67 и CD98hc под действием пептидов AED, KED, KE и AEDG в молодых и пожилых культурах фибробластов кожи. Наиболее выраженный стимулирующий эффект оказал пептид AEDG. Таким образом, этот тетрапептид может быть изучен в качестве активного восстанавливающего компонента косметических средств для людей с выраженными признаками старения кожи.

Рис. 3. Иммунофлуоресцентная конфокальная микроскопия культуры фибробластов кожи: фрагмент 14, ×200. Ядра клеток окрашены Hoechst 33258 (темно-синяя флуоресценция), светло-зеленая флуоресценция соответствует окрашиванию на каспазу-3 [5].
Таким образом, в работе [5] продемонстрирована повышенная экспрессия маркера апоптоза каспазы-3 в старых культурах фибробластов кожи по сравнению с молодыми клеточными культурами. Пептид AED снижал уровень апоптоза в молодых и старых культурах, в то время как пептид AEDG (Эпиталон) снижал этот показатель в старых культурах ниже уровня, наблюдаемого в молодых культурах (рис. 3). Таким образом, пептид AED может быть протестирован как вещество, предотвращающее гибель фибробластов кожи и замедляющее старение кожи. Пептид AEDG оказывал в 2 раза более выраженное геропротекторное действие на стареющие культуры фибробластов кожи, чем пептид AED, что делает его перспективным средством для дальнейшего изучения в качестве вещества, замедляющего процессы старения кожи пожилых людей.
Повышенная экспрессия ММР-9 в культурах фибробластов старой кожи по сравнению с культурами молодых клеток отражает усиление ремоделирования внеклеточного матрикса и воспалительных реакций с возрастом. Короткие пептиды AED, KED, KE и AEDG снижали экспрессию ММР-9 в старых культурах и не влияли на этот показатель в молодых культурах. Эти результаты свидетельствуют о том, что на тканевом уровне изученные короткие пептиды способствуют заживлению кожи, предотвращают раздражение, повышают тургор и увлажненность кожи, а также замедляют процесс старения.
Пролиферативный потенциал эпиталона
Исследование [6] было проведено с целью изучения пролиферативного потенциала пептида на фетальных фибробластных клетках. Легочные фибробласты были изолированы из плода 24-недельного возраста, и было замечено, что эти фибробласты теряют свою пролиферативную функцию на 34-м пассаже. Эти клетки обладали чрезвычайно маленькими теломерами – меньше, чем они были изначально на 10-м пассаже. Когда Эпиталон был введен в эти стареющие клетки, он, по-видимому, стимулировал развитие теломер, увеличивая их и восстанавливая их нормальный размер. В результате этого удлинения теломер, они обеспечивали 10 дополнительных клеточных делений по сравнению с контрольными клетками.
Первичные легочные фибробласты (штамм 602/17) демонстрировали потерю пролиферативного потенциала и прекращение роста клеток во время пассажа 34. Метод Flow-FISH продемонстрировал снижение средней и максимальной длины теломер в клеточном цикле G1 у “старых” фетальных фибробластов (штамм 602/17) после 32-го пассажа (рис. 5, а, б) по сравнению с “молодыми” клетками после 10-го пассажа (рис. 4, а, в). Средняя длина теломер в фазе клеточного цикла G1 после 10 пассажей (контроль) составила 20,9±6,6 арб. единиц (рис. 4, а, б). Длительное культивирование (32 пассажа) привело к укорочению теломер до 10,9±4,3 арб. единиц (р<0,05; рис. 5, а, б). Окрашивание “молодых” клеток йодидом пропидия показало, что среднее содержание ДНК в фибробластах составило 13,2±1,5 барических единиц (рис. 4, а, в) против 18,6± 1,9 барических единиц в “старых” клетках (р<0,05; рис. 5, а, в).

Рис. 4. “Молодые” фетальные фибробласты, пассаж 10. Здесь и на рис. 5, 6: а) измерение длины теломер методом флуоресцентной гибридизации in situ с использованием проточной цитофлуориметрии (flow-FISH). По оси абсцисс:
Окрашивание клеточной ДНК йодидом пропидия (линейная шкала); по оси ординат: пептидно-нуклеотидное окрашивание теломер (линейная шкала). Клетки в фазе G1 клеточного цикла обведены; б) гистограмма распределения клеток по длине теломер в фазе G1 клеточного цикла; в) гистограмма распределения клеток по содержанию ДНК в фазе G1 клеточного цикла [6].
Этот факт, по-видимому, связан с общими хромосомными аберрациями, вызванными, в свою очередь, укорочением теломер до критической длины, когда они больше не могли предотвращать слияние хромосом [7]. Согласно анализу flow-FISH, добавление Эпиталона в культуральную среду увеличивало среднюю длину теломер в фазе клеточного цикла G1 “старых” фибробластов (пассаж 38) до 26,2±7,9 арб. единиц (рис. 6, а, б), что достоверно (в 2,5 раза, р<0,05) превышало среднюю длину теломер при прохождении 32 клеток (рис. 5, а, б). В присутствии Эпиталона в культуральной среде фибробласты подверглись 44 делениям, и деление продолжалось. Примечательно, что содержание ДНК в клетках не менялось после удлинения теломер и оставалось таким же, как в клетках после многих пассажей (рис. 5, а, в; рис. 6, а, в). По-видимому, это объясняется необратимыми хромосомными аберрациями, которые произошли к тому времени [8].

Рис. 5. “Старые” фетальные фибробласты, пассаж 32 [6].

Рис. 6. Фетальные фибробласты, обработанные эпиталоном, пассаж 38 [6].
Таким образом, пептид Эпиталон продлевал жизненный цикл диплоидных клеток человека, преодолевая предел Хейфлика. Эти данные объясняют геропротекторный эффект Эпиталона в различных экспериментальных моделях [9].
Воздействие эпиталона на лимфоцитарные клетки
В клиническом исследовании [10] лимфоцитарные клетки были выделены и культивированы у субъектов в возрасте от 76 до 80 лет. Целью данного исследования было определить действие Эпиталона на активность рибосомальных клеток и его влияние на денатурацию и полиморфизм гетерохроматина. Результатом этого исследования после доставки клеточной культуры с Эпиталоном стало то, что пептид, по-видимому, индуцирует активацию рибосомных генов и деконденсацию гетерохроматина. Следовательно, он, по-видимому, индуцирует высвобождение генов, которые в противном случае были подавлены из-за старения хромосомных областей. Это исследование показало, что Эпиталон может обладать потенциалом изменять участки хромосом в стареющих клетках, активировать хроматин и восстанавливать клеточную активность, которая иным образом подавлялась или задерживалась у лиц пожилого возраста.
Антимутагенное действие эпиталона
В научной статье [11] для определения действия пептида на хромосомные аберрации использовали три разные модели мышей. Тремя моделями мышей были самки SAMP-1 с ускоренным старением и дикие крысы SAMR-1 и SHR (обе мыши-самки). При введении эпиталона было отмечено, что частота хромосомных аберраций в костном мозге мышей SAMP-1 с ускоренным старением оказалась почти в 2 раза выше, чем у двух других моделей. Когда пептид вводили мышам через 2 месяца, оказалось, что он уменьшает хромосомные аберрации во всех трех моделях, причем наибольший показатель был у мышей SAMP-1 с ускоренным старением клеток. В комбинации с мелатонином на ночь, запивая водой, не сообщалось о влиянии на действие пептида. Это исследование показало, что эпиталон может обладать антимутагенным потенциалом.
Эпиталон и раковые клетки
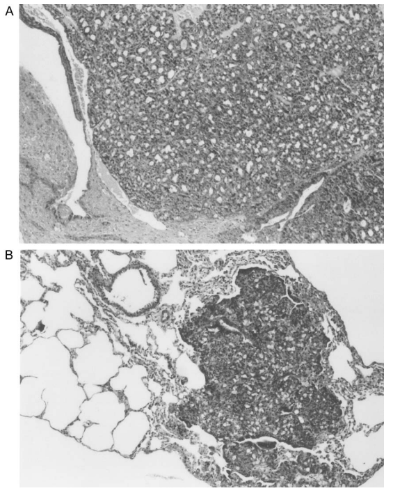
В работе [12] наблюдались годовалые самки (C3H/He) мышей с опухолями репродуктивных органов (молочных желез и яичников). Опухоли в молочных железах включали несколько вариантов инвазивных протоковых канцерогенных клеток, тогда как в яичниках обнаруженные опухоли были гранулезноклеточными. Этих мышей, содержавшихся в стандартных условиях в течение шести месяцев, разделили на контрольную и экспериментальную группы. Эпиталон вводили пять раз в неделю. После завершения исследования сообщалось, что у трех из девяти мышей в контрольной группе, по-видимому, наблюдались метастазы и увеличение количества опухолевых клеток. Между тем, у пептидных мышей наблюдалось уменьшение количества опухолевых клеток. Эпиталон, по-видимому, при доставке ингибировал процесс метастазирования у мышей, предотвращая цикл и рост опухолевых клеток. Ученые, руководившие этим исследованием установили антиметастатический потенциал пептида.
Длительное применение эпиталона в малых дозах не вызвало каких-либо токсических эффектов, и смертельных исходов зарегистрировано не было. В ходе эксперимента не было обнаружено изменений в весе подопытных мышей по сравнению с их контрольными собратьями. Хотя эксперимент (6,5 месяцев) был недостаточным для определения влияния Эпиталона на спонтанный онкогенез, ожидается, что его результаты будут интересны онкологам-экспериментаторам.
Лечение эпиталоном уменьшило количество мышей со злокачественными опухолями и предотвратило развитие метастазов (таблица I). Спонтанные опухоли репродуктивных органов (молочных желез и яичников) были преобладающими в обеих группах мышей (контрольной и экспериментальной) (рисунки 7, 8). Опухоли молочной железы представляли собой различные варианты инвазивных протоковых карцином, в то время как опухоли яичников были гранулезно-клеточного типа. Опухоли в других органах были в меньшинстве и имели доброкачественные признаки: трихофолликуломы и трихоэпителиомы кожи, а также аденомы легких и печени.
Таблица 1. Частота возникновения, локализация и тип опухолей у мышей, получавших и не получавших Эпиталон. (а в скобках указано количество мышей с метастазами) [12].

У контрольных мышей метастазы были обнаружены у 3 из 9 мышей с опухолями, все они были из опухолей репродуктивных органов (таблица 1). У 2 мышей были обнаружены метастазы опухолей молочной железы в легких (рис. 7), а у 1 мыши были обнаружены метастазы опухоли яичника в соседних жировых тканях (рис. 8). У подопытных мышей не было обнаружено метастазов в опухоли.

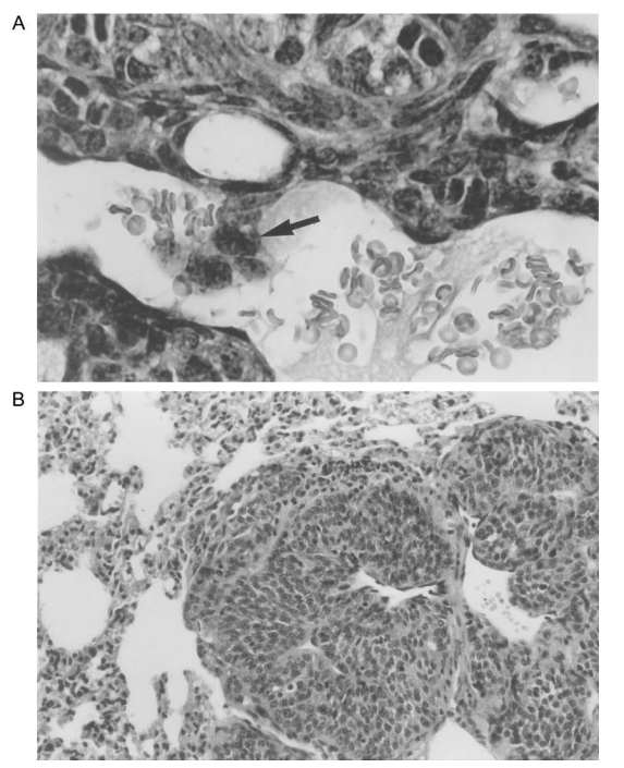
Рис. 7. Опухоль молочной железы. H&E. x80. А – инвазивная протоковая карцинома. Б – метастазирующая опухоль в легких [12].

Рис. 8. Опухоль яичника. H&E. А, х800. Б, х200. А – гранулезно-клеточная опухоль. Стоит обратить внимание на инвазивное размещение опухолевых клеток в кровеносном сосуде (стрелка). Б – метастазирующая опухоль в легких [12].
Целью этого исследования было оценить влияние синтетического пептида эпиталона из шишковидной железы на спонтанный онкогенез у самок мышей C3H/He. Спонтанные опухоли молочной железы и их метастазы у мышей C3H были описаны ранее в работе [13]. Среди спонтанных опухолей яичников у этих мышей преобладают гранулезно-клеточные опухоли [14]. У трансгенных мышей FVB/N, несущих ген рака молочной железы HER-2/neu, эпиталон продлевал среднюю продолжительность жизни животных без новообразований на 34,2%, замедлял развитие возрастных нарушений репродуктивной активности и подавлял образование новообразований [15].
Пептид снижал частоту возникновения аденокарцином молочной железы, метастазов в легкие и множественных опухолей, увеличивал число мышей без опухолей молочной железы и продлевал продолжительность жизни мышей с опухолями молочной железы в 1,4 раза по сравнению с их контрольными аналогами. У беспородных мышей SHR швейцарского происхождения эпиталон увеличил максимальную продолжительность жизни на 12,3% по сравнению с контрольной группой [12]. Хотя лечение эпиталоном не влияло на общую частоту спонтанных опухолей, оно в 6 раз замедляло развитие лейкоза по сравнению с контрольной группой. У крыс с опухолями LIO, получавших 1,2-диметилгидразин, эпиталон в суточной дозе 1 мкг/крысу на протяжении всего эксперимента значительно уменьшал количество опухолей в толстой кишке по сравнению с контрольной группой и подавлял развитие опухолей в тощей и подвздошной кишках. Более того, Эпиталон подавлял митотическую активность как эпителиальных клеток, прилегающих к опухоли, так и самих опухолевых клеток, когда лечение проводилось на протяжении всего эксперимента [12].
Параллельно в этой группе крыс наблюдался высокий уровень апоптоза. Лечение мелатонином или эпиталоном привело к увеличению средней и максимальной выживаемости у 10% последних выживших мышей с ускоренным старением (SAM). Следует отметить, что антиканцерогенный эффект Эпиталона был наиболее эффективным, когда его вводили на протяжении всего эксперимента, т.е. как на стадии инициации, так и на стадии стимулирования канцерогенеза.
Противоопухолевые эффекты эпиталона и мелатонина проявляются в их ингибировании пролиферации клеток [12,16]. Среди различных механизмов, которые были описаны на сегодняшний день, регулирующих действие этих компонентов шишковидной железы, их антиинвазивная и антиметастатическая активность изучена в наименьшей степени, несмотря на мнение, что эти параметры являются важной частью онкостатического действия этих компонентов. Например, было показано, что мелатонин в качестве дополнительного средства к химиотерапии повышает 5-летнюю выживаемость больных немелкоклеточным раком легких с метастазами [12].
Это исследование показало, что эпиталон уменьшает количество мышей со злокачественными опухолями и предотвращает метастазирование спонтанных опухолей в репродуктивные органы мышей. Противоопухолевый эффект Эпиталона оказался таким же, как и у его природных аналогов.
Эпиталон и исследования на гипофизэктомированных птицах
В работе [17] исследовались гипофизэктомированные птицы, как молодые, так и старые, говоря конкретней – их использовали для изучения действия пептида эпиталон на морфологию вилочковой железы. Гипофизэктомированные птицы – это птицы, у которых гипофиз был удален хирургическим путем. После доставки пептида было обнаружено, что морфология вилочковой железы, по-видимому, восстановилась у всех птиц, независимо от их возраста. Наиболее улучшенные результаты наблюдались у птиц (в основном цыплят), которым была проведена гипофизэктомия новорожденных до введения пептида.
Воздействие эпиталона на мелатонин
Это исследование [18] исследование проводилось на стареющих обезьянах для определения действия Эпиталона на уровень мелатонина. С возрастом уровень мелатонина имеет тенденцию к снижению из-за снижения секреции, что может вызывать трудности с регулированием сна. В основном это связано с ухудшением функционирования шишковидной железы с возрастом и уменьшением амплитуды циркадного ритма гормонов. После введения эпиталона он, по-видимому, стимулировал действия, аналогичные тем, которые вызываются естественной секрецией шишковидной железы. Уровень мелатонина, повышался до “нормального” уровня.
Важно отметить, что в отличие от мелатонина, который при длительном введении в организм приводит дозозависимому утнетению секреторной активности эпифиза, курсовое введение пептидного препарата эпиталамина в утреннее время суток (10 ч) оказывает активирующее воздействие на ночную секрецию мелатонина в пинеальной железе, что сопровождается повышением ночного пика концентрации мелатонина в плазме крови как у молодых, так и у старых крыс, а у последних как зимой, так и летом [18].
В данном исследовании показано, что у пожилых людей пептидные препараты оказывают на мелатонин-образующую функцию эпифиза модулирующее влияние – у лиц с функциональной недостаточностью железы уровень мелатонина в плазме крови повышается ночью более, чем в два раза, но существенно не изменяется у обследованных с сохраненной функцией эпифиза. Аналогичное влияние пептидные препараты оказывают на амплитуду суточного ритма мелатонина.
Эпиталамин и эпиталон у старых обезьян и пожилых людей в одинаковой степени повышают концентрацию мелатонина в плазме крови в 3 ч ночи, однако такой эффект был достигнут при введении значительно меньшей курсовой дозы эпиталона (0,1 мг) по сравнению с эпиталамином (50 мг). Это свидетельствует о более высокой биологической активности эпиталона. Другой особенностью действия эпиталона на пожилых людей является повышение концентрации мелатонина в плазме не только ночью, но и в 21 ч вечера, т.е. в период начала физиологического подъема секреторной активности эпифиза.
Для устранения функциональной недостаточности шишковидной железы в пожилом возрасте можно использовать мелатонин и пептидные препараты эпифиза. Однако необходимо отметить, что мелатонин, являясь средством заместительной терапии, не оказывает нормализующего влияния на биосинтез этого вещества в эпифизе.
Более того, при длительном применении фармакологических доз мелатонина возможно угнетение выработки его эндогенным путем. До выяснения вопросов безопасности длительного применения мелатонина его препараты могут применяться для коррекции функциональной недостаточности эпифиза короткими курсами (2-4 недели) в минимальных дозах (0,3-1 мг). Перед назначением необходимо оценить состояние мелатонин-образующей функции эпифиза путем определения концентрации мелатонина в плазме крови в 2-3 ч ночи или уровня ночной экскреции 6-сульфатоксимелатонина с мочой. Вероятно, мелатонин не нужно назначать пожилым людям с сохраненной мелатонин-образующей функцией эпифиза, например, если уровень гормона в плазме в 3 ч ночи превышает 40 нг/л.
Преимущество пептидных препаратов эпифиза состоит в том, что они оказывают модулирующее влияние на функциональную активность пинеалоцитов. При сниженной мелатонин-образующей функции эпифиза эпиталамин и эпиталон проявляют мягкое стимулирующее воздействие на эндогенный синтез мелатонина, что приводит к умеренному повышению концентрации гормона в плазме крови в темное время суток. У людей с сохраненной мелатонин-образующей функцией эпифиза введение пептидных препаратов не оказывает стимулирующего или угнетающего влияния на выработку эндогенного мелатонина. Поэтому назначение эпиталамина и эпиталона не требует предварительной оценки функционального состояния эпифиза.
Для восстановления мелатонин-образующей функции эпифиза эпиталамин целесообравно использовать двухнедельным курсом (по 10 мг внутримышечно в 10 ч утра, 1 инъекция в 3 сут, курсовая доза 50 мг) через каждые 4-6 месяцев. Аналогичный эффект может быть достигнут после 10-дневного курсового введенияэпиталона в дозе 10 мкг ежедневно, 2-3 курса в течение года [18].
Эпиталон и клетки сетчатки
В клиническом исследовании [19] было высказано предположение, что применение эпиталона пациентам пожилого возраста, по-видимому, повышает биоэлектрическую и функциональную активность сетчатки, тем самым сохраняя морфологическую структуру сетчатки. Более конкретно, исследователи предположили, что пептид “участвует в механизмах транскрипции, общих для эпифиза и сетчатки.”В результате возрастная дегенерация сетчатки может быть обращена вспять у пожилых пациентов, что подтверждается положительным клиническим исходом у 90% пациентов, получавших пептид.
Эпиталон и геропротекторные свойства
Наконец, исследование [20] проводилось на 266 пациентах пожилого возраста (старше 60 лет) в течение 6-8 лет, некоторым пациентам вводили пептид-биорегулятор тималин, другие с эпиталоном, а остальные с их комбинацией. После исследования было замечено, что оба пептида, по-видимому, обладают потенциалом для восстановления основных функций организма у лиц пожилого возраста, включая улучшение функций сердечно-сосудистой, эндокринной, иммунной и нервной систем, наряду с нормализацией метаболической и гемостатической активности. Оказалось, что группы пептидов демонстрируют 2-кратное снижение частоты распространенных гериатрических заболеваний, таких как острые респираторные расстройства, болезни сердца и костей. Кроме того, уровень смертности у пациентов, получавших пептиды, по-видимому, значительно снизился: в 2 раза у пациентов, получавших тималин, в 1,8 раза у пациентов, получавших Эпиталон, и в 2,5 раза у пациентов, получавших оба пептида.
Отзывы пользователей
Пользователи пептида эпиталон отмечают значительное улучшение общего самочувствия и замедление процессов старения. Многие пациенты сообщают об улучшении качества сна, повышении энергии и укреплении иммунной системы после курса лечения. Некоторые также отмечают улучшение состояния кожи, увеличение продолжительности жизни и улучшение настроения. В редких случаях упоминаются незначительные побочные эффекты, такие как легкое раздражение кожи и головная боль. В основной массе, большинство отзывов позитивные, и пользователи довольны результатами терапии.
Выводы
Итак, в заключение, сформируем главные выводы о пептиде Эпиталон:
Эффективность при старении и регенерации тканей: Эпиталон проявляет способность замедлять процессы старения и способствовать регенерации тканей, что может быть полезно для улучшения общего состояния здоровья и увеличения продолжительности активной жизни.
Улучшение функций эндокринной системы: Исследования показывают, что эпиталон может положительно влиять на эндокринную систему, включая регуляцию функций гипофиза и эпифиза, что способствует восстановлению гормонального баланса и поддержанию молодости организма.
Поддержка иммунной системы: Эпиталон демонстрирует потенциальные преимущества для укрепления иммунной системы, что может помочь в борьбе с инфекциями и улучшении общего состояния здоровья.
Потенциал в лечении заболеваний, связанных с возрастом: Эпиталон имеет перспективы для использования в комплексной терапии возрастных заболеваний, таких как сердечно-сосудистые и нейродегенеративные заболевания, благодаря его способности улучшать общее состояние организма и замедлять старение.
Минимальные побочные эффекты и безопасность: Пептид эпиталон имеет высокую степень безопасности, с минимальными и редкими побочными эффектами, что делает его привлекательным для длительного использования и исследований в области старения.
Разнообразие способов применения: Эпиталон можно вводить различными способами, включая инъекции и интраназальное введение, что позволяет адаптировать его использование под индивидуальные потребности пациентов и обеспечивает удобство и эффективность терапии.
Список источников
Пн-пт 9:00–19:00
Сб 10:00–14:00
Вс — выходной
Пн-пт 9:00-18:00